Allie Phillips of Tennessee was 19 weeks pregnant with a girl she and her husband already named Miley Rose when she went to see a high-risk obstetrician on Friday morning.
A technician began to conduct an ultrasound scan, but suddenly stopped and went to get the doctor. The 28-year-old expectant mom was left lying on the table and texted a friend to see if that had ever happened to her.
“Never,’” the friend replied.
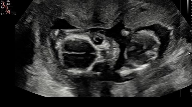
The doctor entered and directed Phillips’ attention to the screen and a gap in a white line down the middle of her baby’s brain. The doctor explained that the gap showed the brain had not fully divided into the right and left hemispheres.
“I felt all the blood just leave my face and my heart sank to the back of my chest and I just felt numb,” Phillips told The Daily Beast on Monday. “I was still there physically, but my mind just kind of left.”
She looked over at her husband, Bryan Lynch. His eyes were welling with tears and she knew he was struggling not to break down in front of her.
“I came back to my body,” she later said. “I immediately began crying, like out loud crying.”

A sonogram shows the gap in the line between the hemispheres of the brain.
Courtesy Ally PhillipsThe doctor said it was a rare congenital defect known as holoprosencephaly (HPE). Only 3 percent of fetuses with it survive to birth.
To make it all worse, Miley Rose’s heart had only two chambers rather than four. There were also abnormalities in the kidneys and the bladder.
“I asked, ‘Is there any treatment?’” Phillips recalled. “She said, ‘Unfortunately, there’s nothing that can fix all these defects.’”
Miley Rose was doomed.
“I was like, ‘What do we do next?’” Phillips remembered.
The doctor said that terminating the pregnancy was an option, but they were in Tennessee, where an abortion ban went into effect six months ago.
“She said, ‘Of course, in Tennessee, I can’t offer you advice if you choose that route. That is something you would have to do your own research on,’”
Phillips remembered.
The doctor added that if they decided to continue with the pregnancy, the problems would only grow along with the fetus.
“We risk having a stillborn or giving birth only for her to just die shortly after delivery,” Phillips said. “I don’t want to bring her into this world to suffer for an hour or two just so I can say I held her.”
Phillips went home with her husband and sought escape in sleep.
“Maybe [you] wake up and it was just a bad dream,” she said. “Unfortunately not. Life was like a living nightmare.”

Before the ban in Tennessee, she could have just gone to her doctor for an abortion. Her home state now was a place where she could only wait for her baby to be born into a futile struggle to live a brief time not worth living. And if she miscarried, she would have to wait for her body to expel the deceased fetus. A medical effort to intervene would constitute an abortion.
“An abortion is a procedure,” Phillips said. “It doesn’t matter if there’s a heartbeat.”
The couple’s 5-year-old daughter, Adalie Phillips, went with her parents when they had a routine anatomy scan on Feb. 20. The child heard their usual obstetrician say she saw enough cause for worry that they should see a high-risk obstetrician. Now, five days later, Phillips had to explain to Adalie how things had changed.
“Remember on Monday when mommy went to the baby doctor?” Phillips recounts asking the girl. “Do you remember what happened?”
“Yeah, there was something wrong with Miley Rose,” Adalie said.
“You know how mommy had an appointment today when you were in school?”
“Yeah.”
“So they found more things wrong with Miley Rose.”
“Why?”
“I don’t know why. Sometimes things happen and it’s not my fault, it’s not daddy’s fault, it’s not your fault. It’s nobody’s fault. Nature doesn’t always do what it’s supposed to do. Because of everything that’s wrong with Miley Rose she’s not going to make it, honey. She’s not going to be born.”
“But you can drink water and grow healthy,” the girl then said.
“I wish that was all we had to do,” the mother replied. “Sometimes it’s more than just water can help. So, we’re going to have to say goodbye to Miley Rose.”
“But I wanted my baby sister.”
“I know you did, honey. I wanted her, too. Sometimes these things are just out of our hands.”

On Saturday, Phillips and her husband went to One Like Me, a place near her home in Clarksville that provides ultrasound images and recording of heartbeats as keepsakes. The place was fully booked, but the proprietor fit in Phillips after she explained the situation and said she wanted to have a recording of Miley’s heartbeat.
“Before we say goodbye to our little girl,” Phillips said.
The proprietor provided her with several 3D images of Miley Rose as well as a heartbeat recording. Phillips was only charged with the stuffed floppy-eared bunny that she and her husband chose from the stuffed animals that accommodate recordings.
On Monday, Phillips made calls to abortion providers in New York and Illinois. She and her husband make too much money to qualify for financial assistance, but not enough that the prospective expense isn’t daunting, especially when compounded by the cost of airfare and a hotel. One quote in Illinois for the procedure at 20 weeks was $1,500, going up to $2,500 in the 21st week.
They decided on a facility in Manhattan that said it would cost $1,050 at 20 weeks. A woman there said the price might be less in Phillips’ case, as the baby was smaller than would be expected at 19 weeks.
“I know they charge by how big the fetus is,” Phillips said.
Phillips and her husband will be setting from Tennessee for New York next week to do what they must do, but cannot do at home thanks to Gov. Bill Lee and the conservative Republicans who are now running her home state.
“Maybe I can get Bill to pay for my trip,” Phillips said.
She feels sure that the self-described pro-life politicians really value something else.
“Control,” she said. “That’s all they care about.”
Abortion bans, in Tennessee or anywhere else, are “extremely dangerous to women of every background,” she said. “Politicians should not be making any laws that limit medical treatment for anyone. It’s unconstitutional and a violation to my basic civil and human rights.
“Banning abortions doesn’t stop them. It bans safe abortions and makes it nearly impossible for some women to receive life-saving care. Women will die because of these laws. Doesn’t seem very pro-life if you ask me.’’
Phillips had announced her pregnancy on TikTok. She now posted a tearful video reporting the terrible turn it had taken, announcing that she and her husband had decided to get an abortion. She posted another video in which she played the recording of Miley’s Rose’s heartbeat as she held the bunny.
Her living nightmare is made only worse by the faint stirring inside her.
“There’s little moves,” Phillips said. “I can feel it.”






